fb pixel

Smile Restoration by Dr Rashi Gupta

At Norlane Dental, Dr Rashi Gupta provides advanced full arch dental implant treatment in Geelong for patients seeking a long-term solution for missing, failing or severely compromised teeth. This case study highlights a smile restoration designed to improve function, comfort, aesthetics and confidence.

Patients from Geelong, Melbourne, Ballarat, Bendigo and across Victoria often seek full arch dental implants when they want a more stable, functional and natural-looking alternative to removable options.

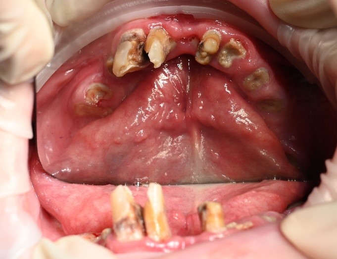
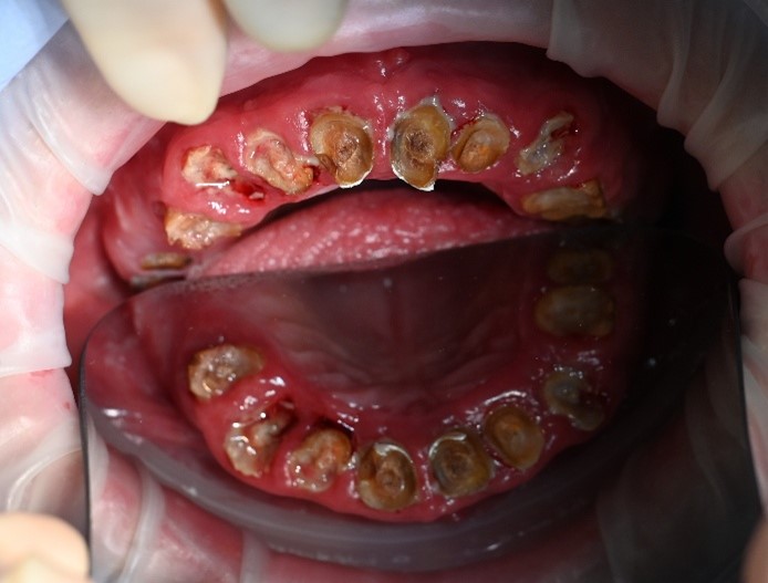
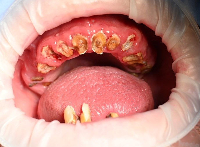
Before

After

The Patient’s Challenge

This patient presented with significant dental concerns affecting both oral function and smile appearance. Everyday activities such as eating, speaking and smiling comfortably had become increasingly difficult. Like many people exploring full mouth dental implants, the patient was looking for a fixed and reliable solution that could restore both confidence and quality of life.

Beyond appearance, the goal was to improve:

  • chewing ability
  • overall comfort
  • smile balance and aesthetics
  • long-term stability
  • confidence in social and professional settings

    Why He Came to See Us

    The patient came to our practice because he was frustrated with the remaining broken teeth and wanted a fresh start. He wanted to be able to eat comfortably, improve his appearance, and finally smile with confidence again.

    For him, this was not only about teeth — it was also about quality of life, confidence, and comfort.

    Our Assessment and Planning

    We completed a full clinical examination and took detailed records, including:

    • clinical photographs
    • intraoral photos
    • OPG x-ray
    • CBCT scan
    • digital implant planning records

These records helped us carefully assess bone levels, gum health, and implant positions.

xAlthough the patient had moderate bone loss in some areas and signs of old chronic abscesses, his overall bone quality was still suitable for implants. There was no active pus or severe infection at the time of treatment.

We also discussed smile design and tooth shade with the patient so that the final result would feel natural and suit his face.

 The Treatment Plan

After discussing all options, the plan was to provide the patient with full arch fixed implant bridges.

The treatment included:

  • removal of the failing teeth
  • keeping the upper wisdom teeth, as they were buried under the gum and not causing any problems
  • bone grafting where needed
  • use of CGF (Concentrated Growth Factors) from the patient’s own blood to support healing
  • placement of 5 implants in the upper jaw
  • placement of 6 implants in the lower jaw
  • insertion of temporary fixed teeth on the same day

Because good implant stability was achieved during surgery, the patient was able to receive fixed temporary teeth very quickly.

The Surgical Procedure

The procedure was completed under general anaesthesia, so the patient was asleep and comfortable throughout the surgery.

The surgery took approximately 4 hours. During the procedure, x-rays were taken to confirm that the implants were in the correct positions.

Once the implants were placed, temporary fixed bridges were fitted within a few hours. This meant the patient did not have to go home without teeth.

Dr Rashi Gupta All-On-X Dental Implants Same Day Teeth

Immediate Teeth on the Same Day

One of the most rewarding parts of this case was that the patient received fixed temporary teeth on the day of surgery.

These temporary teeth were designed to:

  • restore appearance
  • improve confidence
  • allow gentle function
  • stabilise the implants during healing

We carefully checked the bite, speech, comfort, and aesthetics before the patient left.

Dr Rashi Gupta All-On-X Dental Implants Recovery After Surgery

Recovery After Surgery

The patient recovered very well. He reported minimal discomfort, and our team made TLC follow-up calls to check that he was feeling well and had no concerns.

Because the surgery was performed under general anaesthesia and long-acting pain relief was provided, the patient found the recovery much easier than expected.

He was given clear instructions to help healing, including:

  • follow a soft diet
  • avoid smoking
  • avoid spitting or vigorous rinsing
  • use the prescribed mouth rinse
  • attend a review appointment after 7 days

As with all implant cases, healing times vary from person to person, but he was able to return to normal activities within about a week.

The Emotional Impact

This case was not only about replacing teeth. It was also about restoring the patient’s confidence and self-esteem.

When the patient saw his fixed teeth, he became emotional. After living for so long without proper teeth and not feeling able to smile, the change had a deep personal impact.

He was especially happy that the treatment gave him a smile he felt proud of again.

The Final Result

The treatment achieved a wonderful outcome for the patient, including:

  • fixed teeth
  • improved chewing
  • restored smile confidence
  • better comfort
  • long-term stability
  • improved quality of life

This type of treatment can make a life-changing difference for patients who have been struggling with badly damaged or missing teeth.

Patient Words

The patient shared:

“I had been struggling with no smile and no proper teeth for years. After the implant treatment, I can finally chew properly and smile with confidence. The procedure was much easier than I expected. I wish I had done it earlier.”

Dr Rashi Gupta’s Clinical Insight

According to Dr Rashi Gupta, this patient was a suitable candidate for implants because he was in good overall health and had enough bone support for a fixed implant solution.

She explains that detailed CBCT planning was one of the most important parts of the case, as precise planning helps reduce risk and supports long-term success.

Dr Gupta also noted that, because the patient was treated under general anaesthesia, he felt no discomfort during surgery, and the use of long-acting pain relief helped make recovery smoother afterward.

For long-term implant success, she emphasises the importance of:

  • good oral hygiene
  • regular maintenance visits
  • careful implant planning and placement

Why Full Arch Dental Implants Can Be Life-Changing

For many patients, full arch dental implants do much more than replace missing teeth. They can restore:

  • confidence
  • comfort
  • chewing ability
  • facial support
  • quality of life

If you have broken, failing, or missing teeth and want a fixed long-term solution, full arch dental implants may be an excellent option to consider.

Book a free consultation with Dr Rashi Gupta and discover a personalised approach to full-arch dental implant treatment in Geelong.

Pin It on Pinterest

Shares
Share This