fb pixel

Gallery

Before and After Gallery

Martin – Fixed Bridge on 4-6 Implants for both Upper and Lower teeth (within 24 hours)

Fixed Bridge on 4-6 Implants for both Upper and Lower teeth

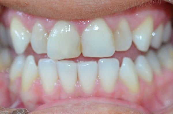
Tony – Simile designing. Beautiful aesthetic Crowns for front teeth

Three Implants done in the Lower jaw.

Four front Implants done

Implants done on the upper jaw

Fixed bridge done on four implants placed in the upper jaw.

Fixed bridge done on four implants placed in the upper jaw.

Fixed bridge done on four implants placed in the upper jaw.

Fixed bridge done on four implants placed in the upper & lower jaw.

Fixed bridge done on four implants placed in the upper jaw.

Fixed bridge done on six implants placed in the upper jaw.

Fixed bridge done on four implants placed in the upper jaw.

Orthodontics to achieve this beautiful result

Orthodontics to achieve this beautiful result

Orthodontics to achieve this beautiful result

Orthodontics to achieve this beautiful result

Orthodontics to achieve this beautiful result

Orthodontics & whitening to achieve this beautiful result

Orthodontics & whitening to achieve this beautiful result

Orthodontics to achieve this beautiful result

Same day Cerec crowns done inhouse within 1 hour

Same day Cerec crowns done inhouse within 1 hour

Same day Cerec crowns done inhouse within 1 hour

Beautiful translucent Veneers done for the front 4 teeth

Bridge for front unrestorable tooth

Smile designing – a combination of Crowns and Veneers done

Smile designing Combination of Crowns and Implants

Smile designing Combination of Crowns and Veneers

Norlane Dental Aesthetics & Implants & Geelong Day Surgery
Sleep Dentistry

Norlane Dental Aesthetics and Implants
Norlane Dental Aesthetics and Implants
Geelong Day Surgery
Geelong Day Surgery
Geelong Day Surgery
Norlane Dental Aesthetics and Implants
Norlane Dental Aesthetics and Implants
Norlane Dental Aesthetics and Implants

Medical Emergencies Workshop At Norlane Dental Aesthetics And Implants

Dr Rashi Gupta successfully completed her Post Graduate Diploma in Clinical Dentistry (Oral Implants)

dr rashi gupta completed post graduate diploma in clinical 1 dentistry dentist norlane geelong
dr rashi gupta completed post graduate diploma in clinical dentistry 2 dentist norlane geelong
dr rashi gupta completed post graduate diploma in clinical dentistry 3 dentist norlane geelong

First day for Norlane Dental @ 21, Princes Highway

Relocating to the new building – see our progress here

Dr Rashi Gupta Deepens Her Expertise in Dental Implant Surgery with Intensive Courses in India

Clear aligners Open Day at Norlane Dental Aesthetics and Implants

More About Norlane Dental Aesthetics and Implants

Discover more about Norlane Dental Aesthetics and Implants. Visit our About Us page.

Pin It on Pinterest